Clinique Dentaire Saint Dominique
CLINIQUE DENTAIRE ST DOMINIQUE
Avenue Cheikh Anta Diop Km 1, immeuble Barsalam, 5287 Dakar

+221 77 510 02 06    +221 77 598 75 75

+221 33 821 47 89
Clinique Dentaire Saint Dominique
CLINIQUE DENTAIRE ST DOMINIQUE

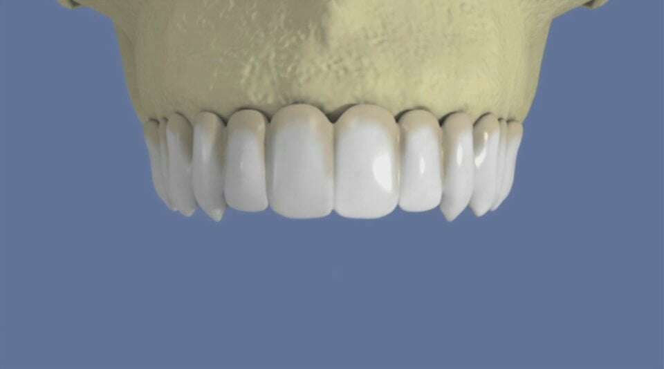
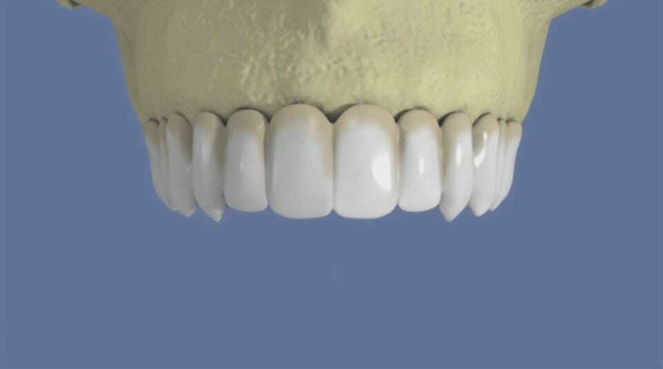
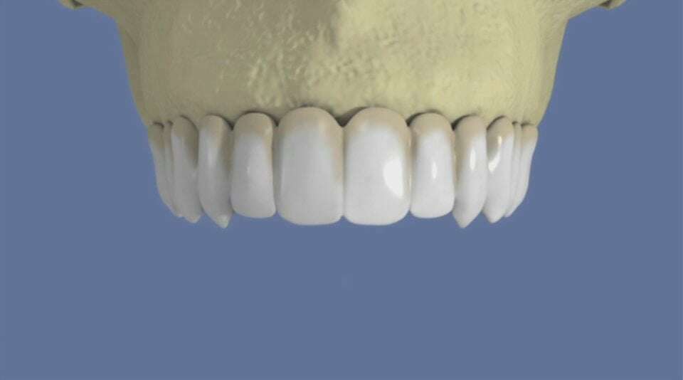
Maxillaire : bridge vissé sans fausse gencive


video-play-icon

Création par Webdentiste

Connexion